A super-accurate radiotherapy device that can target tumours deep inside the body is now bringing new hope to UK cancer patients.
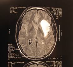
Radiosurgery is a non-invasive cancer treatment in which targeted radiation beams are used to destroy or shrink tumours. But the Novalis Tx device tailors these beams to match the exact shape, size and position of a tumour in the body. This means that a more intense beam can be used without causing damage to surrounding tissue. The device can also manoeuvre the beams to reach tumours deep inside the body, such as in the spinal cord, which were previously inaccessible.
The system uses X-ray images of a tumour to monitor its position, and can even adapt when growths - such as those in the lungs - move as the patient breathes. It responds by only zapping the tumour when it returns to its original position after each breath (see video, above).

Patients who would normally have to spend months recovering from complicated open surgery to remove brain tumours can now be treated in one session and return to normal life the following day. In some cases, cancer patients can be treated in just fifteen minutes.
The machine was launched at the Clatterbridge Cancer Centre in Liverpool, UK, this week and is due to be set up in medical centres in Manchester and Edinburgh later this year.
Radiosurgery is a non-invasive cancer treatment in which targeted radiation beams are used to destroy or shrink tumours. But the Novalis Tx device tailors these beams to match the exact shape, size and position of a tumour in the body. This means that a more intense beam can be used without causing damage to surrounding tissue. The device can also manoeuvre the beams to reach tumours deep inside the body, such as in the spinal cord, which were previously inaccessible.
The system uses X-ray images of a tumour to monitor its position, and can even adapt when growths - such as those in the lungs - move as the patient breathes. It responds by only zapping the tumour when it returns to its original position after each breath (see video, above).
Patients who would normally have to spend months recovering from complicated open surgery to remove brain tumours can now be treated in one session and return to normal life the following day. In some cases, cancer patients can be treated in just fifteen minutes.
The machine was launched at the Clatterbridge Cancer Centre in Liverpool, UK, this week and is due to be set up in medical centres in Manchester and Edinburgh later this year.
No comments:
Post a Comment